Top image used under CC0 Public Domain license. Image cropped and modified from original.
HAVE YOU EVER HEARD of “Mountain Dew Mouth”? It’s what happens to our teeth when we drink too much soda. The term comes from rural Appalachia, where that particular drink has long been the carbonated beverage of choice and tooth decay is alarmingly common. But this doesn’t just happen in Appalachia, and Mountain Dew isn’t the only drink that contributes to tooth decay.
image courtesy of https://www.youtube.com/watch?v=ruikti6o61Y -The Dangers Of Sugary Drinks
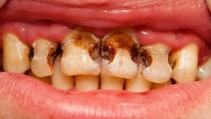
When we eat or drink something with sugar in it, the sugar sticks to our teeth. Sugar itself doesn’t do any damage to our oral health, but it is unfortunately the favorite food of the bacteria that lives in our mouths. These bacteria eat the sugar and then excrete acids that erode our tooth enamel, leading to tooth decay. They also cause inflammation that increase the risk of gum disease.
Any source of sugar can negatively impact oral health. Sugary drinks (including fruit juice, but especially soda) are particularly dangerous because they aren’t filling like solid food and are therefore easy to keep drinking.
Effects Of Carbonation
So if sugar is the problem, then can’t we keep our teeth healthy by switching to diet soda instead of giving up carbonated beverages altogether? Diet soda is certainly an improvement, but sugar isn’t soda’s only threat to dental health. The other is acid. Sugar leads to tooth decay because oral bacteria eat sugar and excrete acid that erode tooth enamel. Soda cuts out the middle man and applies acid directly to the teeth.
Even diet sodas and carbonated water contain acid. The three types of acid commonly found in soda are citric, phosphoric, and carbonic. Any drink with citrus flavoring will have citric acid, many colas get their flavor from phosphoric acid, and carbonic acid is what makes these drinks fizzy in the first place.
Protecting Your Smile
The best thing for your teeth is avoiding soda and other sugary drinks entirely. If you can’t bring yourself to give up your favorite drink completely though, there are a few ways to enjoy it while protecting your teeth. A big one would be to only drink soda with a meal instead of sipping from a can or bottle throughout the day so that the sugar and acid aren’t sitting in your mouth for long periods.
You can also help balance your mouth’s pH and rinse away remaining sugar by drinking water after the soda. Finally, clean away the last traces of sugar and acid by brushing your teeth, but it’s a good idea to wait until the pH balance is back to normal before brushing, which takes about thirty minutes.
It is particularly important for children and people with braces to avoid overindulging in sugary drinks. Children have the highest risk of enamel erosion because their enamel isn’t yet fully developed, and braces plus a soda habit is a great way to end up with stained teeth when the braces come off.
Don’t Forget That We Can Help Too!
Following these good habits will go a long way towards protecting your teeth against decay and erosion from the sugar and acid in soda. Still, don’t forget that your dentist is also an important part of the equation. Keep scheduling those visits every six months!





